跖趾关节疼痛患者的福音!人工跖趾关节置换术
2024-01-29
近日,连州市人民医院成功开展一例人工跖趾关节置换术,这是连州市人民医院创伤骨科在关节置换领域中的又一项突破!
石阿姨5年前无明显诱因出现右足第1跖趾关节处疼痛、肿胀,半年前肿痛症状明显加重,行走、负重时活动受限明显,曾在多家医院就诊效果欠佳,在家属的陪同下到我院创伤骨科就诊。
石阿姨入院后,创伤骨科主任房辉强高度重视,积极完善相关检查后立即组织科室成员进行讨论。结合石阿姨的症状和影像学表现,诊断为第一跖趾关节骨性关节炎(亦称拇僵硬)。结合最新的足踝外科领域进展,并与患者和家属进行充分沟通,决定为患者实施人工跖趾关节全关节置换术。
创伤骨科团队制定了周密的手术方案,在麻醉科、手术室的配合下,在南方医科大学第三附属医院足踝外科曾参军主任的指导下,创伤骨科主任房辉强带领副主任医师万富贵、副主任医师欧阳玉斌、主治医师张鹏为石阿姨行人工跖趾关节全关节置换术。手术顺利完成,患者术后恢复良好,效果满意。

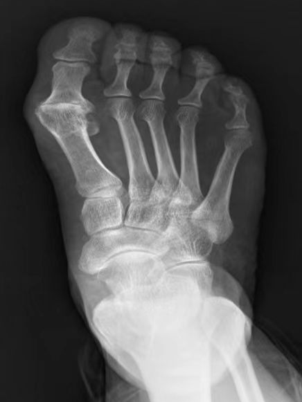
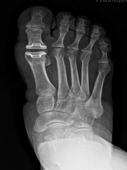
术前DR 术后DR
房辉强指出,随着生活质量的提高,人们对足踝部健康越来越重视。拇僵硬是以第一跖趾关节疼痛和活动受限为特征的关节退行性病变。早期症状主要包括疼痛、肿胀和跖趾关节滑膜炎,背伸受限则是其中最典型的特征之一。此类患者常诉步态僵硬,第一跖趾关节局部疼痛,在步行和站立时加重,休息后缓解。临床上常采用关节唇切除术、关节成形术、第一跖骨截骨术、跖趾关节融合术等,但这些传统术式在解决拇僵硬引起疼痛的同时,一定程度上牺牲了正常跖趾关节的功能活动。近年来,我国逐渐采用人工生物金属聚乙烯假体全关节置换术,很多足踝关节疾病在保守治疗无效的情况下均可采取小关节置换,此类手术创伤小、并发症少、既缓解疼痛又保留正常功能。
人工跖趾关节置换术的顺利开展,标志着连州市人民医院创伤骨科人工关节置换术水平再上新台阶,也为连州市及周边脚部跖趾关节炎症、损伤的患者带来福音。
科室简介
连州市人民医院创伤骨科于2016年4月自骨科分科独立运行。开放病床38张,现有副主任医师6名,主治医师2名。多名医师曾省内三甲医院进修学习,基础理论扎实,对各种骨科常见病、多发病、危急重症和疑难复杂疾病等都具有先进的治疗理念及丰富的临床经验。
科室主要收治多发严重创伤、复合伤、骨盆髋臼骨折、肩胛骨骨折、复杂关节内骨折、四肢骨折脱位等患者。在肢体严重外伤性外科治疗、严重骨与关节损伤的治疗、复杂骨盆髋臼骨折的治疗、四肢骨折的微创技术、老年骨折的综合治疗、四肢长管状骨折、累及关节的粉碎性复杂骨折、骨折延迟愈合/不愈合、骨髓炎、大面积创面修复、手足部畸形矫正、手足部功能重建等疾病的诊治方面具有明显的技术优势。积极开展骨科高难度创伤、关节、脊柱手术,在人工髋关节置换、人工膝关节置换、人工肱骨头置换、胸腰椎骨折内固定、经皮胸椎椎体成形术、经皮腰椎椎体成形术、踝关节镜手术等方面积累了丰富临床经验。
创伤骨科全体医护人员本着“以患者为中心”的理念,以患者的满意为目标,以规范化治疗为标准,不断强化医疗质量和服务质量,用精湛的医术、贴心的服务,为广大患者提供优质便捷的诊疗服务。
外聘专家简介
曾参军,医学博士,留美博士后,广东省杰出青年医学人才,南方医科大学第三附属医院骨科医学中心、广东省骨科研究院、广东省骨科医院,足踝外科主任,主任医师,博士研究生导师。
主要学术任职:
AOFAS(美国足踝外科协会)国际会员
广东省临床医学学会足踝外科专业委员会主任委员
SICOT中国部足踝外科学会第三届委员会副主任委员
中国康复医学会足踝外科专业委员会副主任委员
中国研究型医院学会足踝医学专业委员会副主任委员
中国康复医学会骨与关节康复专业委员会足踝外科学组委员会副主任委员
中国医师协会骨科医师分会足踝基础及矫形学组委员
“中华足踝继续医学教育学院”继续教育培训基地主任
中国医师协会运动医学医师分会第一届委员会足踝专业学组委员
中华医学会骨科专业委员会足踝学组青年委员会副主任委员
中华医学会骨科学分会第十一届委员会青年委员会足踝学组委员
广东省医学会关节外科学分会足踝学组副组长
广东省医师协会骨科分会足踝学组副组长
广东省医疗行业协会伤口管理分会第二届委员会副主任委员
中国康复医学会广东省修复重建外科学会第七届委员会常务委员
广东省临床医学学会第二届理事
广东省增材制造协会第二届学术委员会委员
广州市劳动能力鉴定医疗卫生专家库医疗卫生专家
中华足踝继续医学教育学院委员
中国医药生物技术协会3D打印技术分会3D打印骨科学组第一届组长
中国中西医结合学会骨伤科分会第八届委员会足踝专家委员会委员
中国糖尿病足联盟常委
白求恩公益基金会足踝外科专业委员会常务委员
广东省医学会创伤骨科学分会第二届委员会足踝创伤学组顾问
中国医疗保健国际交流促进会骨科分会足踝外科学组华南分会委员
广东省3D打印创新联盟理事
中华医学健康科普工程国家“十三五”重点出版物《知足常乐足部健康100问》的编委
专业特长:
3D打印骨科精准微创治疗,足踝畸形矫形、足踝伤病、踝关节置换、距骨置换、距骨软骨损伤的阶梯治疗、踝关节炎的阶梯治疗、关节镜微创治疗足踝伤病、大段骨缺损、骨髓炎、骨不连、严重骨盆髋臼骨折、四肢多段粉碎骨折、关节周围复杂骨折、老年骨质疏松骨折微创治疗、各种畸形矫形临床经验丰富。
研究方向:
1.足踝疾病的诊治。
2.3D打印技术在骨科领域应用的基础和临床研究。
3.骨关节软骨损伤的基础与临床研究。
4.骨质疏松、骨与软组织损伤修复的基础研究。
5.VR、AR、人工智能在足踝手术治疗的应用研究。
创伤骨科专家简介
房辉强 创伤骨科主任 骨外科副主任医师
广东省基层医药学会骨科修复重建专业委员会常务委员
广东省临床医学学会足踝外科专业委员会第一届常务委员
广东省健康中国研究会足踝健康专业委员会常务委员
广东省卫生信息网络协会骨科信息化应用分会常委
清远市医学会创伤学分会常务委员
清远市劳动能力鉴定专家库成员
连州市残疾人肢体残疾鉴定专家
从事骨外科临床工作30余年,有扎实的理论基础及丰富的临床经验,先后在佛山市中医院、南方医科大学附属第三医院、广州医科大学附属第二医院进修学习,擅长四肢创伤骨折,骨盆骨折、骨质疏松 人工关节置换等规范化治疗。参与市级科研立项3项,曾获清远市科技进步三等奖二项、获连州市科技进步奖三项,发表论文多篇,多次荣获“先进党务工作者”“优秀共产党员”等称号。
梁斐 科教科副科长 骨外科副主任医师
广东省临床医学会运动医学专业委员会委员
广东省医师协会分会创伤骨科医师分会委员
广东省基层医药学会创伤救治专业委员会足踝学组第一届委员
广东省清远市医学会骨科学分会委员
擅长髋关节置换、老年骨质疏松骨折微创治疗、颈肩腰腿疼痛治疗、四肢多段粉碎骨折、关节内及关节周围复杂骨折、骨缺损、骨髓炎、骨不连、各种皮肤缺损移植术、各种骨折外固定术、四肢开放性损伤、复杂手外伤等手术,临床经验丰富。参与完成市级科研项目4项,参与完成省级科研项目2项,以第一作者发表论文4篇,以第二作者参与发表论文9篇。
万富贵 创伤骨科副主任 骨外科副主任医师
广东省健康中国研究会足踝健康专业委员会第一届常务委员
广东省基层医药学会骨科修复重建专业委员会第一届委员
清远市医学会创伤学分会第一届常务委员
2004年开始从事骨科临床工作,在连州市人民医院工作期间开展多项骨科新手术,对骨科疾病、创伤及创伤后遗症修复经验丰富,擅长骨科微创手术治疗,擅长骨盆髋臼骨折内固定术、股骨头坏死人工髋关节置换、膝关节炎人工膝关节置换、人工肱骨头置换等骨科高难度手术,擅长骨质疏松、手足部常见畸形等骨科疾病保守及手术等规范治疗。


