新突破!连州市人民医院开展 首例静脉窦血栓取栓术
2024-01-15
日前,连州市人民医院神经内科成功为一名颅内静脉窦血栓形成患者行静脉窦血栓取栓术,患者术后恢复良好。此手术难度及风险较大,在我市尚属首例。
大学生突发头疼呕吐,竟患颅内静脉窦血栓
20岁的小李(化名)是一名在广州就读的大学生,因无明显诱因突发头痛、呕吐,在广州治疗效果欠佳,头痛加剧,在家属的陪同下急转我院治疗。急诊医学科立即启动脑卒中绿色通道,行头颅CT+CTA+CTV检查提示:部分下矢状窦-直窦-左侧横窦-左侧乙状窦-部分左侧颈内静脉充盈缺损,考虑血栓形成。
医教部主任奉继运主任医师、神经内科副主任陈荣平副主任医师组织科室成员对病情进行详细的评估和讨论,大家一致认为,其静脉栓塞范围广泛,症状随时有可能进一步加重并出现相关并发症。相比保守抗凝治疗,介入手术可为患者及时清除血栓,恢复血流,从而降低患者癫痫、脑梗死、脑出血的发生,是改善患者预后的关键。经与患者家属沟通,取得知情同意后,迅速完善术前准备,为其行静脉窦血栓介入微创取栓手术。
抢救及时手术顺利 取出大量血栓
因颅内静脉血管壁薄,有静脉瓣阻挡,同时血管迂曲、变异度高,其手术难度高、风险大、手术时间长,极其考验术者的技术、耐心和毅力。在麻醉科的全力保障和神经内科团队的不懈努力下,取出大量血栓,大脑静脉血流重新恢复,手术历时约3小时。术后患者头痛症状缓解,一周后康复出院。

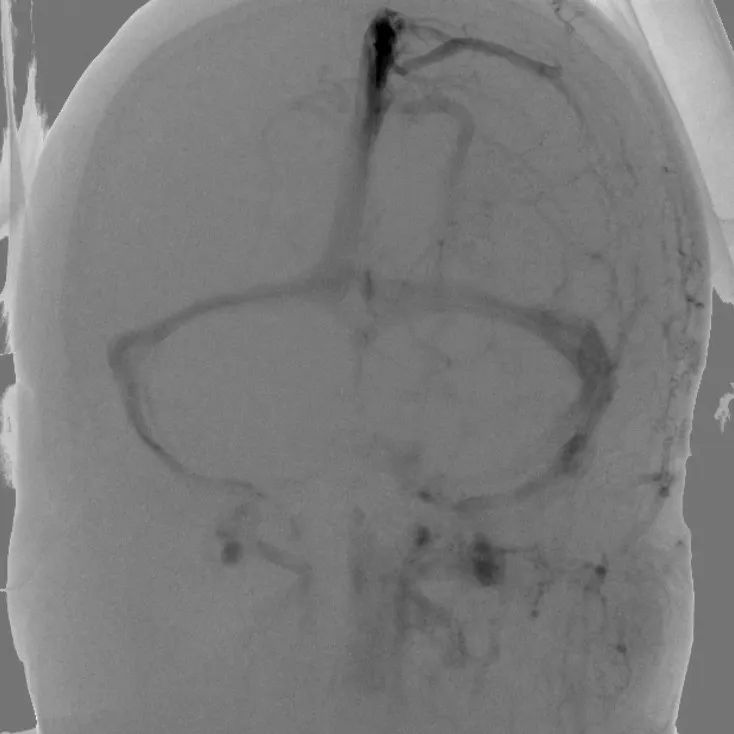
【术前DSA】 【术后DSA】
术中取出大量血栓
专家提醒
陈荣平介绍,颅内静脉窦承担着全脑血液的引流作用。静脉窦血栓相当于下游河道被阻塞,上游源源不断的水还要往下流,最终导致河堤崩塌。其典型的症状是高颅压性头痛,严重时可出现癫痫发作、脑梗死、脑出血、甚至导致昏迷引起死亡等严重后果,是一种较少见的神经科危急重症。以往对这类患者一般采用抗凝、脱水降颅压等药物保守治疗,治疗时间长,部分患者无法痊愈。血管内介入治疗进行血管的开通,可改善患者的预后,降低重症带来的致残率、致死率。反复头痛、尤其是原因不明的头痛,要及时到医院就诊,尽早明确病因才能更好地对症治疗。
奉继运表示,颅内静脉窦血栓取栓手术,是大脑血栓取栓中最难最复杂的疾病之一。成功开展该项手术,并且取得良好的预后,体现了我院卒中的救治能力。
此例静脉窦取栓术的开展,标志着我院脑血管介入技术迈上了新台阶,为今后颅内静脉窦血栓患者带来了更先进的治疗方式!我们将继续秉持初心和使命,遵循“医者仁心,诚信为本”的理念,用更加精湛的医疗技术为连州及周边市县的广大人民群众的健康安全提供坚实的保障。
开展静脉窦血栓介入微创取栓手术,卒中中心建设再上新台阶
奉继运表示,颅内静脉窦血栓取栓手术,是大脑血栓取栓中最难最复杂的疾病之一。成功开展该项手术,并且取得良好的预后,体现了我院卒中的救治能力。
此例静脉窦取栓术的开展,标志着我院脑血管介入技术迈上了新台阶,为今后颅内静脉窦血栓患者带来了更先进的治疗方式!我们将继续秉持初心和使命,遵循“医者仁心,诚信为本”的理念,用更加精湛的医疗技术为连州及周边市县的广大人民群众的健康安全提供坚实的保障。
科室介绍
连州市人民医院神经内科于2016年4月独立分科成立,目前总共开放病床44张。全科现有医生10人,其中高级职称4名,中级职称5名,初级职称1名。多名医师在省内三甲医院进修学习,基础理论扎实,对神经科各种疾病的诊治均有较丰富的临床经验。
擅长头晕头痛、脑梗死、短暂性脑缺血发作、各类癫痫、帕金森疾病、颅内感染性疾病、脊髓疾病、颅神经疾病、各类疾病引起的昏迷和脑功能障碍等常见病、多发病及疑难危急重症的诊治和抢救。特别是对急性脑梗死静脉溶栓、血管内介入治疗有较高的诊疗水平。静脉溶栓前移至急诊医学科,神经内科率先在三连一阳地区开展神经介入手术,填补了地区空白。现能开展经股动脉/桡动脉穿刺脑血管造影、动脉溶栓术、动脉内机械取栓术、颅内外动脉支架植入术、球囊扩张成形术、静脉窦血栓取栓术等手术,是三连一阳地区最早开展此类手术的科室。
我院2020年11月27日获“防治卒中中心”授牌,2021年5月15日获“综合防治卒中中心”授牌,获广东省卒中学会2021年度“取栓工作先进中心”,获中国卒中学会2021年度“急性脑梗死再灌注治疗质量改进国家行动”取栓工作优秀科室,获2022年度广东省防治卒中中心“静脉溶栓先进单位”,获2023年度广东省二级医院卒中中心“持续质控先进单位”。
奉继运 主任医师
连州市人民医院医教部主任
连州市医疗总院人民医院卒中中心副主任委员、医疗总监
广东省卒中学会缺血性神经介入分会第二届委员会委员
广东省基层医药学会神经内科专业第一届委员会常务委员
广东省基层医药学会脑血管病介入专业第一届委员会常务委员
清远市医学会神经内科分会第三、四届委员会副主任委员
清远市医学会重症分会委员
2001年毕业于南华大学临床医学,学士学位。于广州医科大学附属第二医院进修学习神经内科、重症医学科、神经介入,2019年于首都医科大学附属北京天坛医院缺血性脑血管病急诊取栓班学习。从事临床工作20余年,对常见急危重症疾病救治有丰富的临床经验,擅长急性重症脑血管病救治、缺血性脑血管病神经介入治疗、头痛头晕相关疾病诊治等。
陈荣平 副主任医师
连州市人民医院神经内科副主任
广东省医学会内科学分会第六届委员
清远市医学会神经内科分会第四届委员会常务委员
2006年毕业于广东医学院临床医学专业。2015在中山大学孙逸仙纪念医院神经内科进修,2020年在南方医科大学深圳医院进修神经介入。从事临床工作十余年,曾多次在重症医学科工作,擅长急危重症缺血性脑血管病的救治和神经介入治疗。
