胆总管结石患者的福音,不开刀也能取石!
2022-10-31
近日,86岁的李大爷因腹痛难忍来到我院就诊,通过检查诊断为:胆总管巨大结石并胆道系统扩张、胆囊结石并慢性胆囊炎。
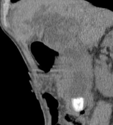
术前CT显示胆总管1.7X2.2cm结石影。
李大爷基础疾病多,开放手术胆总管切开取石风险大,并发症多,经多学科联合会诊并与患者及家属充分沟通后,确定了最佳微创手术方案:实行ERCP取石。这种手术利用十二指肠镜经口腔、食道、胃、十二指肠到达胆总管,进行碎石、取石的目的。消化内科ERCP团队为患者实施了该手术,结石顺利取出。
手术进行中。
术中取出结石。
李大爷避免了开腹手术,术后第五天康复出院。
什么是ERCP
ERCP是经内镜逆行胰胆管造影术的简称,简单来说是指将一根头端带摄像头的十二指肠镜经患者口腔、食管送至十二指肠降部,找到十二指肠乳头,进入胆管,注入造影剂后X线摄片,以显示胰管、胆管的内镜技术。它是一种无创或微创的肝、胆、胰系统疾病的重要诊治方法。此技术具备不开刀、创伤小、手术时间短、并发症较外科手术少、住院时间缩短等优点,更有利于患者恢复,但同时也对操作者技术、操作设备以及术后病情观察及护理要求非常高,鉴于此,目前许多基层医院无法独立开展,导致许多基层胆胰患者只能长途跋涉,前往大医院治疗。
ERCP技术的优势
- ERCP术是一种微创手术,已成为众多胆管胰腺疾病首选的诊疗方法。尤其在肝外胆管结石方面的治疗,有着明显的优势。
- 经口腔取石,无需开刀,体表无任何切口,避免了术后伤口感染、疼痛。
- 术后恢复快、并发症少,一般住院时间为1周,术后次日即可下床活动,出院不附带任何体外引流管,减少了住院费用,避免术后引流管脱落、感染风险。
- ERCP能清楚的得到一个“胆管树图像”。明确胆总管结石的分布、胆管狭窄的部位、性质及程度、有无胆管畸形,更能早期发现壶腹癌。
- 生理干扰轻,手术操作时间短,减轻了手术创伤引起的全身生理变化,老年病人或者身体衰弱而不能耐受外科手术者,更适宜。
2017年以来,我院消化内科已成功开展近百例ERCP胆总管取石手术,为胆总管结石等胆胰疾病患者提供了可靠的微创治疗方法,开启了医院微创胆胰疾病治疗的新篇章,为粤西北山区胆总管结石患者带来了福音。
专家简介
潘新智
连州市人民医院消化内科主任、主任医师
广东省基层医药学会消化及消化内镜分会副主任委员
广东省抗癌协会肿瘤内镜学专业委员会第二届委员会常务委员
广东省肝脏病学会内镜诊疗专业委员会常委
广东省肝脏病学会肝硬化专业分会委员
广东省清远市医学会消化内镜委员会常委
