【上下联动 无缝对接】急性心梗心跳骤停,区域联合紧急施救挽回生命!
2022-04-12
2022年1月16日09:02分,一位55岁的中年男性,表情痛苦、手捂胸口,在家人的护送下来到连州市医疗总院丰阳镇分院,分诊护士询问病史后立即启动胸痛中心绿色通道流程。
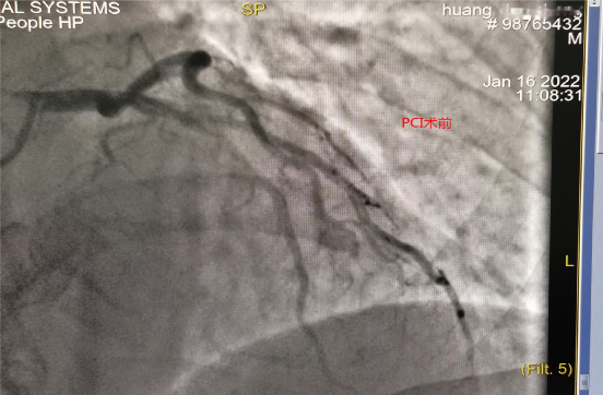
医生边询问病史边行床边心电图,并上传到胸痛中心微信群。拨打胸痛中心一键启动电话行远程会诊,经会诊后确诊STEMI(前壁),建议排除禁忌后,予第三代溶栓药瑞通立全量静注溶栓治疗。医疗救治、辅助检查、医患沟通紧张有序进行,确诊10分钟内予负荷量双抗血小板、稳定斑块治疗,并联系120转胸痛中心治疗。在诊治过程中,患者突然意识丧失,呼之不应,抽搐、小便失禁,心电监护示室颤,考虑心脏骤停,立即予心脏按压、呼吸囊辅助通气、双向波200J电除颤、静注肾上腺素等抢救治疗,约4分钟后患者恢复窦性心律,颈动脉可触及搏动,恢复自主呼吸,血压90/50mmHg,有溶栓禁忌症,边抢救边转送到总院人民医院胸痛中心治疗。通过区域协同救治机制,院内院外搭建绿色通道,绕开急诊科及CCU病房,直达介入室予PCI治疗,术中见前降支中段狭窄>90%,向前TIMI血流2级,11:08导丝通过,予植入支架1枚。患者住院治疗5天,病情稳定,未出现并发症,康复出院。
连州是国家紧密型县域医共体建设的试点县,连州市医疗总院人民医院作为牵头医院,在胸痛中心的创建过程中,从人力、财力、物力方面给予了全力的支持,顺利通过了国家级基层版胸痛中心认证;三家分院在总院人民医院的帮扶下顺利通过广东省胸痛救治单元验收。时间就是生命,时间就是心肌,该患者惊心动魄的经历是市医疗总院胸痛中心日常工作的一个缩影。
胸痛救治单元是胸痛中心区域协同救治体系的组成部分,是胸痛救治网络的基础环节。连州市医疗总院丰阳镇分院自启动胸痛救治单元的建设以来,总院人民医院积极提供技术支持、业务培训和宣教。从健全组织管理机制、建立胸痛患者的快速识别流程、优化转运流程,总院人民医院多次组织专家组到丰阳镇分院对相关知识进行培训和业务指导,使该院所有医护人员均能掌握胸痛患者诊治流程,为胸痛患者提供快速、准确的诊断和及时正确的治疗。目前,总院人民医院正在指导总院丰阳镇分院申报广东省第二批胸痛救治单元验收。
